Giữ thai thành công trong ca song thai khác vị trí hiếm gặp tại Trung tâm Hỗ trợ Sinh sản – Bệnh viện Sản Nhi tỉnh Vĩnh Phúc
Song thai khác vị trí (một thai trong buồng tử cung và một thai ngoài tử cung) là tình trạng sản khoa rất hiếm gặp nhưng tiềm ẩn nguy cơ đặc biệt nghiêm trọng. Nếu không được phát hiện và xử trí kịp thời, thai ngoài tử cung có thể vỡ gây chảy máu ổ bụng ồ ạt, đe dọa trực tiếp tính mạng người mẹ và ảnh hưởng đến thai trong tử cung.
Song thai khác vị trí – tình trạng hiếm gặp nhưng nguy hiểm
Theo y văn, song thai khác vị trí chỉ gặp khoảng 1/30.000 trường hợp mang thai tự nhiên, tuy nhiên tỷ lệ này có xu hướng cao hơn ở những phụ nữ có sử dụng thuốc kích thích buồng trứng hoặc can thiệp hỗ trợ sinh sản. Điểm nguy hiểm là dù đã phát hiện thai trong buồng tử cung, thai ngoài tử cung vẫn có thể tiếp tục phát triển và gây biến chứng nặng nếu bị bỏ sót.
Trường hợp đặc biệt tại Trung tâm Hỗ trợ Sinh sản – Bệnh viện Sản Nhi tỉnh Vĩnh Phúc
Tại Trung tâm Hỗ trợ Sinh sản – Bệnh viện Sản Nhi tỉnh Vĩnh Phúc, các bác sĩ đã tiếp nhận một trường hợp hiếm gặp: sản phụ mang song thai khác vị trí sau khi sử dụng thuốc kích trứng tại cơ sở y tế bên ngoài và có quan hệ tự nhiên.
Sản phụ nhập viện khi thai khoảng 5 tuần với triệu chứng đau bụng. Qua thăm khám lâm sàng và siêu âm, bác sĩ phát hiện:
-
Một thai nằm trong buồng tử cung
-
Đồng thời có một thai ngoài buồng tử cung, vị trí vòi tử cung bên phải
Xử trí kịp thời, bảo tồn thai trong buồng tử cung
Nhận định đây là tình huống khẩn cấp, ê-kíp Trung tâm Hỗ trợ Sinh sản đã nhanh chóng tiến hành phẫu thuật nội soi để xử trí khối thai ngoài tử cung. Song song với đó, sản phụ được theo dõi chặt chẽ và điều trị hỗ trợ nhằm giữ thai trong buồng tử cung.
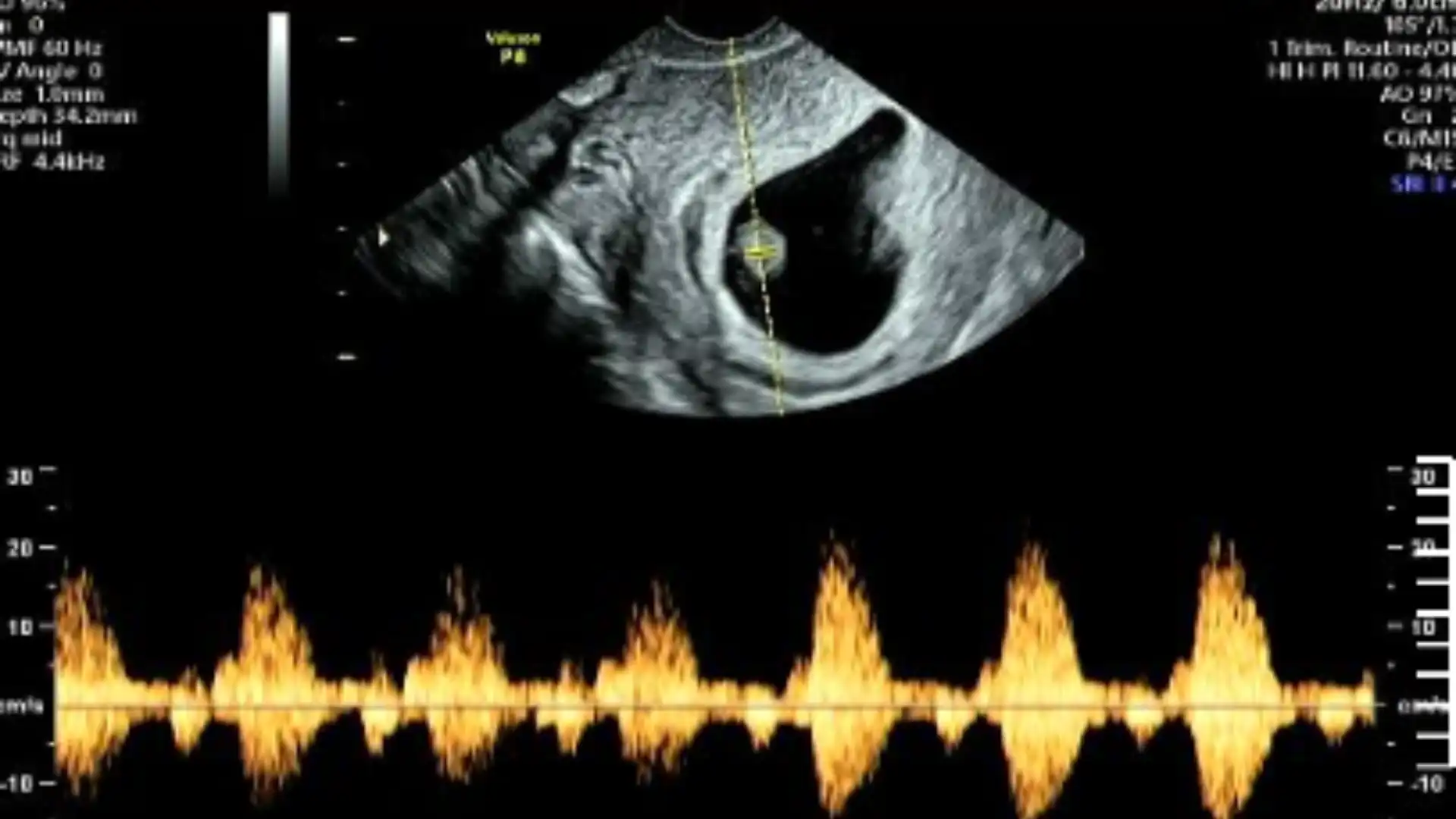
Hình ảnh siêu âm lúc vào viện: song thai khác vị trí với 01 thai trong buồng tử cung và 01 thai ngoài buồng tử cung.

Sau hai tuần điều trị, tình trạng sức khỏe của sản phụ ổn định, thai trong buồng tử cung phát triển tốt. Kết quả này cho thấy hiệu quả của việc chẩn đoán sớm – can thiệp kịp thời – theo dõi sát sao, góp phần bảo đảm an toàn cho người mẹ và duy trì thai trong tử cung.
Hình ảnh siêu âm theo dõi: thai trong buồng tử cung phát triển ổn định.

Sau hai tuần điều trị, sức khỏe của sản phụ và thai nhi đã ổn định, cho thấy sự nỗ lực và chuyên môn cao của đội ngũ y bác sĩ.
Khuyến cáo dành cho phụ nữ mang thai
Phụ nữ khi có dấu hiệu chậm kinh, thử thai dương tính kèm theo đau bụng hoặc ra máu âm đạo bất thường cần đến cơ sở y tế để thăm khám sớm. Việc siêu âm xác định vị trí thai ngay từ những tuần đầu có ý nghĩa đặc biệt quan trọng trong phát hiện sớm thai ngoài tử cung.
Những trường hợp đã từng:
-
Sử dụng thuốc kích thích buồng trứng
-
Có tiền sử thai ngoài tử cung
-
Viêm phần phụ
-
Can thiệp hỗ trợ sinh sản
cần được theo dõi thai sớm và định kỳ tại các cơ sở y tế chuyên khoa uy tín.
Đồng hành cùng mẹ trong hành trình làm mẹ an toàn
Trung tâm Hỗ trợ Sinh sản – Bệnh viện Sản Nhi tỉnh Vĩnh Phúc luôn sẵn sàng đồng hành cùng các gia đình trong hành trình mang thai và sinh con an toàn, bằng chuyên môn vững vàng, quy trình chẩn đoán – điều trị chuẩn mực và sự tận tâm trong chăm sóc.
Trung tâm Hỗ trợ Sinh sản – Bệnh viện Sản Nhi Vĩnh Phúc: Nơi gửi trọn niềm tin, ươm mầm hạnh phúc.
Thông tin liên hệ đặt lịch khám tại BỆNH VIỆN SẢN NHI VĨNH PHÚC
Hotline CSKH: 0911.553.115/ Hotline tư vấn IVF: 091 7159990
Hotline Cấp cứu 24/7: 0859.873.115
Địa chỉ: Km số 9, đường tránh Vĩnh Yên, xã Tề Lỗ, tỉnh Phú Thọ
Fanpage | Zalo | YouTube: Bệnh Viện Sản Nhi Vĩnh Phúc