KỊP THỜI CỨU SỐNG TRẺ BỊ TRÀN KHÍ MÀNG PHỔI MỨC ĐỘ NẶNG DO VỠ KÉN KHÍ
Tràn khí màng phổi là tình trạng cấp cứu nội – ngoại khoa, có nguy cơ tiến triển nhanh thành suy hô hấp và đe dọa tính mạng nếu không được chẩn đoán và xử trí kịp thời. Trường hợp dưới đây là một điển hình của tràn khí màng phổi mức độ nặng do vỡ kén khí, đã được can thiệp đúng thời điểm, giúp bảo tồn chức năng hô hấp cho người bệnh.
Tức ngực, khó thở – Dấu hiệu cảnh báo quan trọng tràn khí màng phổi
Vừa qua, Khoa Ngoại tổng hợp – Bệnh viện Sản Nhi Vĩnh Phúc tiếp nhận cháu P.P.H (16 tuổi) đến khám do đột ngột đau tức ngực, khó thở.
Theo khai thác bệnh sử, người bệnh trước đó hoàn toàn khỏe mạnh, cách vào viện 1 giờ, cháu H đột ngột xuất hiện đau tức ngực trái như dao đâm, đau lan vai cánh tay trái, tăng khi thay đổi tư thế hít thở mạnh, khó thở nhẹ, ho khan thúng thắng.
Khám lâm sàng nhận thấy lồng ngực 2 bên cân đối, di động kém, không co kéo cơ hô hấp, thở nhanh nông, phổi trái thông khí kém, rì rào phế nang giảm, gõ vang, rung thanh giảm, tam chứng Galliard (+), tim nhịp đều, T1T2 mờ, mạch 125 lần/phút, nhịp thở 40 lần/phút, huyết áp 130/90mmHg, SpO2 96%.
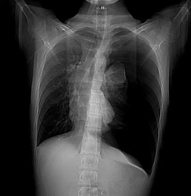
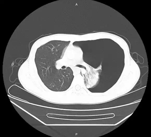
X-quang ngực và cắt lớp vi tính (CLVT) tại thời điểm nhập viện: Ghi nhận hình ảnh tràn khí màng phổi trái lượng nhiều, gây xẹp nhu mô phổi trái và đẩy lệch trung thất sang bên đối diện.
![]() |
![]() |
| Hình ảnh: Xquang, CLVT lúc vào viện: Hình ảnh tràn khí màng phổi số lượng lớn gây đè ép nhu mô phổi trái và trung thất. | |
Siêu âm Doppler tim, van tim: Hở van ba lá nhẹ. Phổi trái tràn khí đè đẩy tim sang phải. Thành thất trái không dày. Buồng thất trái không giãn. Chức năng tâm thu thất trái trong giới hạn bình thường Không tăng áp lực động mạch phổi , không có rối loạn vận động vùng.
Chẩn đoán và xử trí
Dựa vào kết quả trên, cháu H. được chẩn đoán tràn khí màng phổi mức độ nặng nghi do vỡ kén khí. Các bác sĩ nhanh chóng cấp cứu, dẫn lưu khí màng phổi trái bằng dẫn lưu 18F.

Sau khi đặt dẫn lưu màng phổi, tình trạng lâm sàng của người bệnh cải thiện rõ rệt với giảm triệu chứng tức ngực và khó thở. Hệ thống dẫn lưu được duy trì hút áp lực âm liên tục ở mức khoảng –20 cmH₂O.
Trong những ngày đầu sau can thiệp, khí vẫn tiếp tục thoát ra qua hệ thống dẫn lưu. Các phim X-quang ngực theo dõi cho thấy phổi tái nở dần theo thời gian, đồng thời lượng khí dẫn lưu giảm dần qua từng ngày, phù hợp với diễn biến hồi phục của nhu mô phổi.
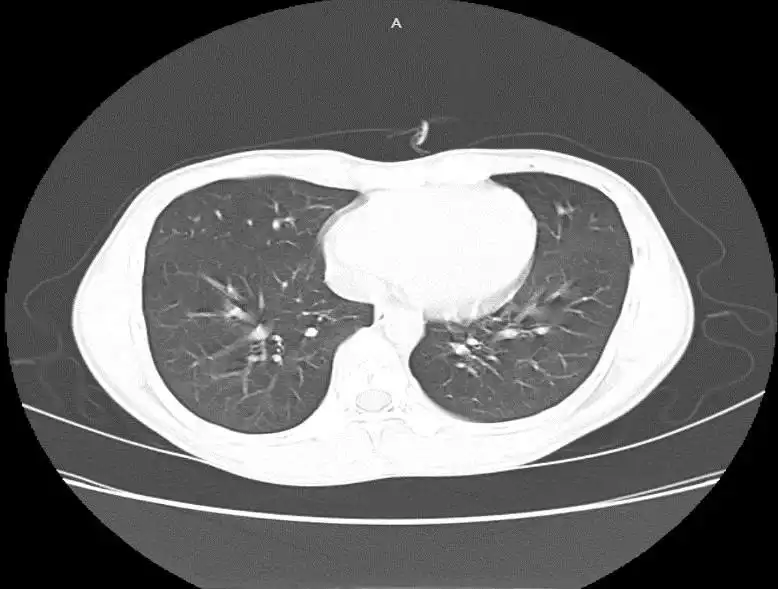
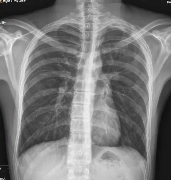
Đến ngày điều trị thứ 11, không còn ghi nhận khí thoát ra qua ống dẫn lưu. Hình ảnh X-quang và cắt lớp vi tính (CLVT) ngực xác nhận phổi nở hoàn toàn, không còn hình ảnh tràn khí màng phổi và không phát hiện kén khí tồn lưu. Căn cứ vào diễn biến lâm sàng và cận lâm sàng ổn định, ống dẫn lưu được rút an toàn. Người bệnh được xuất viện sau 12 ngày điều trị trong tình trạng ổn định.
![]() |
![]() |
|
Cắt lớp vi tính (CLVT) ngực trước thời điểm rút dẫn lưu và X-quang ngực sau rút dẫn lưu cho thấy phổi nở tốt, không còn hình ảnh tràn khí trong khoang màng phổi. |
|
Nhận định chuyên môn
Theo TS.BS Đặng Tiến Ngọc, Phụ trách khoa Ngoại tổng hợp – Bệnh viện Sản Nhi Vĩnh Phúc: “Dẫn lưu khoang màng phổi là một thủ thuật, phẫu thuật cấp cứu thiết yếu nhằm loại bỏ khí tích tụ, giúp phổi giãn nở trở lại và tái tạo áp lực âm trong khoang màng phổi. Trong tràn khí cấp tính, đặc biệt là tràn khí màng phổi áp lực, đây là biện pháp can thiệp sống còn để giải phóng sự chèn ép lên phổi và tim.
Trong trường hợp này ekip đã kịp thời mở dẫn lưu màng phổi cấp cứu, những ngày sau dẫn lưu khí vẫn tiếp tục ra do có sự thông thương giữa phế quản và khoang màng phổi. Việc theo dõi và điều trị hết sức chặt chẽ, khoa học giúp người bệnh không phải can thiệp mở màng phổi để khâu rò khí, tránh được can thiệp lớn có thể mang những bất lợi sức khỏe về sau. Điều trị thành công ca bệnh đã cho chúng tôi thêm nhiều kinh nghiệm thực tế lâm sàng”
Vậy Kén khí ở phổi là gì? Nguyên nhân, mức độ nguy hiểm của bệnh?
Kén khí phổi là các nang chứa khí trong nhu mô phổi, với một lớp thành mỏng bao quanh và không có nhu mô, do đó không thực hiện được chức năng hô hấp.
Nguyên nhân hình thành kén khí phổi, có thể do:
- Bẩm sinh (hiếm gặp): Là dị tật hiếm gặp do sự phát triển bất thường của mô phổi trong giai đoạn phôi thai, thường gặp ở trẻ em.
- Mắc phải: Là bệnh thứ phát sau các bệnh lý mạn tính tiềm ẩn (nhiễm trùng phổi do vi khuẩn, virus, nấm, ký sinh trùng, viêm phổi, viêm phế quản mạn tính, áp xe phổi do chấn thương, khí phế thũng, tăng sinh tế bào lympho, tân sinh, hút thuốc,…) và phổ biến hơn ở người lớn.
Phần lớn những trường hợp bị kén khí phổi đều không có triệu chứng gì đặc biệt, thậm chí có những bệnh nhân đã sống chung với bệnh trong nhiều năm mà không hề hay biết, chỉ tình cờ phát hiện khi khám sức khỏe.
Tuy nhiên, một trường hợp có thể xuất hiện các triệu chứng hô hấp, như: ho, khó thở (bị hụt hơi khi thở, luôn cảm thấy không đủ hơi khi nói), chủ yếu là ho khan có đờm dính khó khạc ra, về sau xuất hiện ho kịch phát và lượng đờm tăng lên. Đây là những triệu chứng rất dễ nhầm lẫn với các bệnh lý hô hấp khác. Ngoài ra, còn có các triệu chứng thiếu oxy (tức ngực, nghẹt thở, khó thở) kéo dài hàng tuần, thậm chí hàng tháng.
Khó thở và đau ngực là hai triệu chứng điển hình của tràn khí màng phổi do vỡ kén khí.
Nếu không được can thiệp, bệnh có thể gây ra một số biến chứng nguy hiểm như:
- Khi kén khí bị vỡ, gây ra tràn khí màng phổi. Đây là tình trạng cấp cứu đòi hỏi phải được chẩn đoán sớm và xử trí kịp thời, vì nguy cơ diễn biến suy hô hấp và tử vong cao;
- Tình trạng kén bị nhiễm khuẩn và vỡ ra thông với phế quản, nếu chỗ vỡ thủng vào màng phổi có thể dẫn đến tràn mủ màng phổi;
- Những trường hợp kén khí có kích thước lớn gây chèn ép vào các vùng lân cận: Kén khí phổi đè vào khí quản gây khó thở, xẹp phổi; Những thùy phổi bị xẹp sẽ tăng nguy cơ nhiễm khuẩn; Kén khí đè vào thực quản sẽ khiến bệnh nhân bị khó nuốt, ảnh hưởng đến tiêu hóa.
Khuyến cáo chuyên môn
Theo TS.BS Đặng Tiến Ngọc – Phụ trách Khoa Ngoại Tổng hợp, Bệnh viện Sản Nhi Vĩnh Phúc, kén khí phổi là tổn thương có thể diễn biến âm thầm trong thời gian dài nhưng tiềm ẩn nguy cơ vỡ, gây tràn khí màng phổi cấp tính và đe dọa tính mạng. Vì vậy, người dân cần chủ động khám sức khỏe định kỳ, đặc biệt là đánh giá chức năng và hình thái hệ hô hấp (chụp X-quang, CT ngực khi có chỉ định), nhằm phát hiện sớm các bất thường.
Bên cạnh đó, khi xuất hiện các triệu chứng như đau ngực đột ngột, khó thở, ho kéo dài hoặc cảm giác hụt hơi, người bệnh cần đến cơ sở y tế chuyên khoa để được thăm khám và xử trí kịp thời. Việc chẩn đoán sớm và can thiệp đúng thời điểm đóng vai trò quyết định trong phòng ngừa các biến chứng nguy hiểm, đặc biệt là tràn khí màng phổi và suy hô hấp cấp.
Bệnh viện Sản Nhi Vĩnh Phúc với đội ngũ bác sĩ giàu kinh nghiệm, hệ thống trang thiết bị hiện đại cùng quy trình cấp cứu – điều trị chuẩn hóa, luôn sẵn sàng tiếp nhận và xử trí hiệu quả các trường hợp cấp cứu nhi khoa, ngoại khoa, sản phụ khoa. Bệnh viện không ngừng nâng cao chất lượng chuyên môn, hướng tới mục tiêu chăm sóc toàn diện, an toàn và hiệu quả cho người bệnh, đặc biệt là trẻ em – đối tượng cần được bảo vệ và chăm sóc tối ưu.
Thông tin liên hệ BỆNH VIỆN SẢN NHI VĨNH PHÚC
Hotline CSKH: 0911.553.115
Địa chỉ: Km số 9, đường tránh Vĩnh Yên, xã Tề Lỗ, tỉnh Phú Thọ
Email: chamsockhachhang.sannhivp@gmail.com
Fanpage | Zalo | YouTube: Bệnh Viện Sản Nhi Vĩnh Phúc



